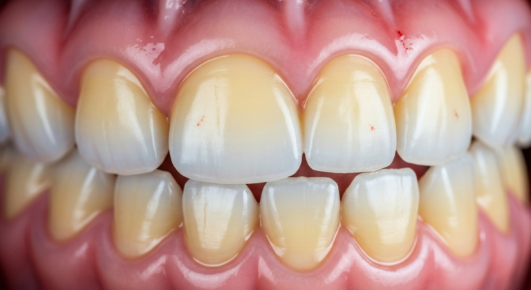
Geschwollenes Zahnfleisch zählt zu den häufigsten Beschwerden im Mundraum – und wird von vielen Betroffenen unterschätzt. Ob diffuse Schwellungen, gerötete Areale oder ein unangenehmes Spannungsgefühl: Wenn Ihr Zahnfleisch geschwollen ist, handelt es sich meist nicht nur um ein kosmetisches oder leichtes Problem. Vielmehr kann geschwollenes Zahnfleisch ein ernstzunehmender Hinweis auf Entzündungen, Krankheiten des Zahnhalteapparates (Parodontium) oder gar Risiken für die Allgemeingesundheit sein.
Gerade wenn das Zahnfleisch bei einem Backenzahn geschwollen ist, kann dies auf tieferliegende Probleme hindeuten. Symptome wie Rötungen, Blutungen, Schmerzen oder Mundgeruch kommen oft hinzu – und steigern die Verunsicherung.
Dieser ausführliche Leitfaden gibt Ihnen einen praxisnahen, wissenschaftlich fundierten Überblick über:
- Ursachen und Risikofaktoren für geschwollenes Zahnfleisch
- Symptome und Warnzeichen – wann zum Zahnarzt?
- Moderne Behandlungsmöglichkeiten und bewährte Hausmittel
- Prävention – Tipps für ein gesundes Zahnfleisch
- Wie eine Zahnzusatzversicherung Ihnen finanzielle Sicherheit bei Behandlungen bietet
Als Drehscheibe für Expertenwissen rund um Zahngesundheit und Zahnzusatzversicherung fokussiert sich ZahnzusatzPlus darauf, Ihnen kompetente, verständliche Antworten und konkrete Handlungsempfehlungen zu geben. So erhalten Sie die nötigen Informationen, um Beschwerden wie geschwollenes Zahnfleisch rasch zu lindern, vorzubeugen und möglichen Folgekosten wirksam entgegenzuwirken. Profitieren Sie von bewährten Tipps, fundierten Empfehlungen und dem Überblick über finanzielle Lösungen im Ernstfall!

Ermitteln Sie kostenfrei Ihren optimalen Versicherungsschutz für Zahnfleischbehandlungen und mehr.
Was tun, wenn das Zahnfleisch geschwollen ist? Typische Symptome im Überblick
Nicht selten wird geschwollenes Zahnfleisch zunächst übersehen oder verharmlost. Doch die Symptome können sehr unangenehm sein und sollten als Warnzeichen verstanden werden.
Die häufigsten Anzeichen für geschwollenes Zahnfleisch
- Rötung: Das Zahnfleisch erscheint dunkler oder bläulich-rot statt zartrosa.
- Schwellung & Druckgefühl: Das Gewebe fühlt sich voluminöser und gespannt an, manchmal ist ein zeitweilig pochender Schmerz spürbar.
- Blutungen: Blutungen beim Zähneputzen oder der Verwendung von Zahnseide sind häufig.
- Schmerzen: Vom leichten Unwohlsein bis zu pulsierendem Schmerz, teils verstärkt beim Kauen.
- Mundgeruch (Halitosis): Entzündungskeime begünstigen schlechten Atem.
Besondere Achtsamkeit ist geboten, wenn das geschwollene Zahnfleisch nur lokalisiert auftritt – etwa als geschwollenes Zahnfleisch am Backenzahn oder im Bereich von Brücken und Prothesen. Auch eine deutliche Empfindlichkeit bei Heißem, Kaltem sowie eine verschlechterte Passgenauigkeit von Füllungen oder Prothesen können auf entzündliche Veränderungen hinweisen.
Bei akutem oder wiederholt auftretendem geschwollenen Zahnfleisch ist rasches Handeln wichtig, um Folgeschäden wie Zahnfleischrückgang, Zahnlockerung oder Zahnausfall zu verhindern.
Wann sollte man mit geschwollenem Zahnfleisch zum Zahnarzt?
- Wenn die Beschwerden länger als 3-5 Tage andauern
- Bei starken Schmerzen, Fieber oder Ausbreitung der Entzündung
- Wenn das Zahnfleisch nach Eingriffen oder bei bestehenden Zahnerkrankungen anschwillt
- Bei begleitenden Allgemeinsymptomen (z.B. Müdigkeit, geschwollene Lymphknoten)
Vorsicht: Informationen auf dieser Seite ersetzen keine persönliche zahnärztliche Beratung. Bei anhaltenden oder schweren Beschwerden empfehlen wir immer eine zeitnahe Untersuchung!

Vergleichen Sie jetzt Tarife für Zahnbehandlungen bei Entzündungen und Schwellungen.
Ursachen für geschwollenes Zahnfleisch: Von Plaque bis Parodontitis
Die Gründe für geschwollenes Zahnfleisch sind vielfältig. Neben mangelnder Mundhygiene können auch systemische Erkrankungen, Medikamente, hormonelle Veränderungen und weitere Faktoren eine Rolle spielen.
Die häufigsten Ursachen im Überblick
- Zahnfleischentzündung (Gingivitis): Hauptrisikofaktor ist bakterielle Plaque. Wird sie nicht entfernt, verursacht sie zunächst eine harmlose Entzündung, die persistiert oder chronisch wird. Mehr zu Gingivitis lesen (MSD Manuals)
- Parodontitis: Breitet sich die Entzündung auf tiefere Gewebeschichten aus, spricht man von Parodontitis. Folge: Knochenrückgang, Zahnfleischrückgang, Zahnlockerung und ggf. Zahnverlust. Expertentipp: Parodontitis-Ratgeber der Charité.
- Nahrungsreste, Fremdkörper oder Verletzungen: Spießen von harten Lebensmitteln, Zahnseidenverletzungen oder harte Zahnbürste reizen das Gewebe.
- Hormonelle Schwankungen: Schwangerschaft, Pubertät oder Wechseljahre können das Zahnfleisch empfindlicher machen.
- Allgemeinerkrankungen: Diabetes mellitus, Bluterkrankungen und Immunschwächen steigern das Risiko.
- Medikamente: Bestimmte Stoffe (z. B. Anti-Epileptika, Immunsuppressiva, Kalziumantagonisten) lösen als Nebenwirkung geschwollenes Zahnfleisch aus.
- Weitere Ursachen: Vitaminmangel (v. a. Vitamin C – Skorbut), schlecht sitzender Zahnersatz und Mundatmung.
Eine zusätzliche Übersicht zeigt die Zusammenhänge auf:
| Ursache | Mögliche Auswirkung | Sofortmaßnahme |
|---|---|---|
| Unzureichende Mundhygiene, Plaque | Gingivitis, Schwellung, Blutung | Bessere Reinigung, Zahnarztbesuch |
| Parodontitis | Tiefergehende Entzündung, Risiko Zahnverlust | Fachärztliche Behandlung, Prophylaxe erhöhen |
| Systemische Erkrankung (Diabetes etc.) | Erhöhte Entzündungsneigung | Erkrankung behandeln lassen, engmaschige Kontrolle |
| Medikamente, Hormone | Schleimhautschwellungen, Überempfindlichkeit | Arzt konsultieren, ggf. Therapie anpassen |
| Verletzungen, Fremdkörper | Lokale Schwellung, Schmerzen | Schonung, Entfernen von Fremdkörpern, sanfte Hygiene |
Insbesondere wenn das geschwollene Zahnfleisch am Backenzahn auftritt, stecken häufig tiefergehende (Beule am Zahnfleisch, Parodontitis) oder mechanische Ursachen (z. B. nicht angepasste Backenzahn-Füllungen) dahinter.
Wissenswert: Forschungen zeigen, dass entzündetes Zahnfleisch auch ein Risiko für die Allgemeingesundheit darstellt – etwa das Herz-Kreislauf-System. Siehe dazu die Publikation der Uniklinik Jena: Entzündetes Zahnfleisch als Risikofaktor für das Herz.

Finden Sie mit wenigen Klicks die passende Zahnzusatzversicherung für Ihre Bedürfnisse.
Behandlung bei geschwollenem Zahnfleisch: Leitlinien & Hausmittel
Die Therapie richtet sich nach der jeweiligen Ursache – von einer Verbesserung der Mundhygiene bis hin zu professionellen Zahnreinigungen und medizinischen Eingriffen.
So behandelt der Zahnarzt geschwollenes Zahnfleisch
- Professionelle Zahnreinigung (PZR): Entfernung von Belägen, Zahnstein, Politur der Zähne.
- Behandlung der Parodontitis: Reinigung auch der Zahnfleischtaschen (gingivale und subgingivale Reinigung), medikamentöse Spülungen, aufwendigere Eingriffe bei starkem Knochenabbau.
- Antibiotika: In schweren Fällen kann eine medikamentöse Behandlung notwendig sein.
- Anpassung von Zahnersatz: Schlecht sitzende Prothesen oder Zahnkronen werden korrigiert.
Zur langfristigen Erhaltung eines gesunden Zahnfleisches empfiehlt sich eine regelmäßige Kontrolle und professionelle Zahnreinigung, um das Risiko für Implantat-Folgekosten und spätere komplexe Therapien zu minimieren.
Erprobte Hausmittel und unterstützende Maßnahmen
Erste Linderung bei geschwollenem Zahnfleisch versprechen:
- Kühle Umschläge: Kaltes Wasser, auf ein Tuch aufgetragen, hilft Schwellungen zu reduzieren (Achtung: Nicht direkt Eis auf das Zahnfleisch legen).
- Salbeitee oder Kamillentee: Spülen oder leichte Mundbäder wirken beruhigend und entzündungshemmend.
- Chlorhexidin-haltige Mundspülung: Fördert die Keimreduktion, sollte aber nur kurzzeitig und nach ärztlicher Anweisung verwendet werden.
- Sorgfältiges Zähneputzen: Sanftes Reinigen ohne starken Druck – optimal mit einer weichborstigen Zahnbürste.
- Vermeidung scharfer, harter Speisen: Um weitere Irritationen zu verhindern.
Alternative Maßnahmen und Präventions-Tipps
- Ölziehen mit Kokos- oder Sesamöl hat in der Naturheilkunde einen festen Platz (antibakterielle Wirkung). Lesen Sie auch zu Ayurveda und Zahnfleischgesundheit.
- Stärken Sie Ihre Mundflora – etwa durch zuckerreduzierte Ernährung und probiotische Nahrungsmittel.
- Investieren Sie in die richtige Zahnputztechnik sowie die tägliche Zahnzwischenraumpflege.

Sichern Sie sich bestmögliche Kostenübernahme bei Zahnfleischbehandlungen.
Vorbeugung: So schützen Sie Ihr Zahnfleisch langfristig
Die wichtigste Maßnahme gegen geschwollenes Zahnfleisch ist und bleibt die effektive Prävention. Mit wenigen, gut umsetzbaren Tipps können Sie Ihr Zahnfleisch gesund halten und zukünftigen Komplikationen vorbeugen.
6 Tipps für dauerhaft gesundes Zahnfleisch
- Richtige Mundhygiene: Mindestens zweimal täglich sanft und gründlich Zähneputzen, ergänzend mit Zahnseide oder Interdentalbürsten die Zahnzwischenräume reinigen.
- Zahnfreundliche Ernährung: Frisches Obst, Gemüse, wenig Zucker und die Vermeidung säurehaltiger Getränke schützen Ihre Mundflora.
- Zähne regelmäßig kontrollieren lassen: Mindestens 1–2 Mal pro Jahr zum Zahnarzt, zudem professionelle Zahnreinigung auf ärztliches Anraten wahrnehmen.
- Rauchen vermeiden: Tabakkonsum erhöht signifikant das Risiko für Zahnfleischentzündungen und Parodontitis.
- Stressabbau: Chronischer Stress schwächt das Immunsystem – bewusste Pausen und gezielte Entspannung wirken Wunder.
- Auf Warnzeichen achten: Reagieren Sie frühzeitig bei ersten Anzeichen wie geschwollenem Zahnfleisch, Blutungen oder anhaltender Empfindlichkeit.
Ein Zahn-Bonusheft dokumentiert regelmäßige Kontrollbesuche – geht es verloren, gibt es Tipps zur Wiederherstellung: Bonusheft Zahnarzt verloren – Was tun?
Bei Zahnarztangst unterstützen spezialisierte Praxen und begleitende Maßnahmen – Details dazu finden Sie im Ratgeber Zahnarzt & Angstpatienten.

Schützen Sie Ihre Zahngesundheit mit der passenden Zusatzversicherung.
Wie hilft eine Zahnzusatzversicherung bei geschwollenem Zahnfleisch?
Zahnfleischerkrankungen verursachen oft nicht nur Schmerzen, sondern auch erhebliche Behandlungskosten. Gesetzliche Kassen decken meist nur Basistherapien ab – wichtige Leistungen wie professionelle Zahnreinigung, Parodontalbehandlungen, Spezialdiagnostik oder Hightech-Verfahren werden teilweise privat berechnet.
Kostenübernahme – was zahlt eine Zahnzusatzversicherung?
- Professionelle Zahnreinigung (PZR): Viele Tarife übernehmen 1–2 PZR pro Jahr komplett oder anteilig.
- Parodontitis-Behandlung und Nachsorge: Erweitere Leistungen wie Lasertherapie, spezielle Spülungen, Knochenaufbau werden oft (teil-)erstattet.
- Erstattungen auch für Füllungen, Prophylaxe und Zahnwurzelbehandlung: Insbesondere bei fortgeschrittenem Verlauf werden Behandlungen teurer.
- Schutz auch bei unbekannten Vorerkrankungen: Hochwertige Tarife verzichten mitunter auf Gesundheitsprüfung oder bieten Nachversicherungsgarantien.
Nützliche Orientierung erleichtert Ihnen unser Vergleichsrechner. So können Sie Finanzierungslücken bei Zahnfleischbehandlungen schließen und sind auch bei Folgetherapien wie teleskopische Zahnprothesen oder Zahnimplantaten optimal geschützt.
Weitere Tipps zur Auswahl: Achten Sie auf
- Hohe Erstattungssätze bei Parodontalbehandlungen
- Möglichst keine Wartezeit und kurze Zahnstaffel
- Flexible Nachbuchungsoptionen (für Kinder, Jugendliche, Erwachsene)

Vergleichen Sie leistungsstarke Tarife bei Zahnfleischproblemen und starten Sie den kostenlosen Beitragsrechner.
Handlungsempfehlungen: Ihr Leitfaden bei geschwollenem Zahnfleisch
Ein geschwollenes Zahnfleisch ist nicht nur unangenehm, sondern kann der Beginn größerer zahnmedizinischer Herausforderungen sein. Die wichtigsten Empfehlungen fassen wir für Sie zusammen, damit Sie rasch und nachhaltig handeln können:
So reagieren Sie richtig bei geschwollenem Zahnfleisch
- Beobachten Sie die Symptome: Prüfen Sie regelmäßig Farbe, Form und Empfindlichkeit Ihres Zahnfleischs.
- Optimieren Sie Ihre Mundhygiene: Nutzen Sie weiche Zahnbürsten, Zahnseide und ggf. Interdentalbürsten. Lassen Sie sich die richtige Technik zeigen (zum Beispiel im Artikel Zähne richtig putzen mit elektrischer Zahnbürste).
- Sparen Sie nicht an regelmäßigen Zahnarztbesuchen: Nehmen Sie Kontrolltermine etwa alle 6 Monate wahr (siehe Zahnarzt-Kontrolltermin).
- Tragen Sie Sorgen oder Unsicherheit nicht zu lange mit sich herum: Spätestens nach wenigen Tagen ohne Besserung sollten Sie den Zahnarzt konsultieren.
- Reduzieren Sie Risikofaktoren: Dazu zählt insbesondere das Rauchen, eine unausgewogene Ernährung und mangelnde Mundhygiene.
- Nehmen Sie Veränderungen im Mundraum ernst: Schwellungen, Rötungen, Bläschen oder Beulen können Hinweise auf ernstere Erkrankungen sein (mehr dazu im Artikel Beule am Zahnfleisch).
- Erwägen Sie vorbeugenden Versicherungsschutz: Mit einer Zahnzusatzversicherung reduzieren Sie Ihr Kostenrisiko beim Zahnarzt und profitieren von hochwertigen Behandlungsleistungen.
Denken Sie daran: Zahnfleischentzündungen, Parodontitis und Co. sind gut behandelbar, je eher sie erkannt werden! Starke, schmerzfreie Zähne und gesundes Zahnfleisch sind kein Zufall – sondern die Folge der richtigen Vorsorge und schnellen Reaktion bei Warnzeichen wie geschwollenem Zahnfleisch.
Informieren Sie sich frühzeitig, sichern Sie sich einen Therapie- und Präventionsvorteil und schützen Sie sich sowie Ihre Familie langfristig – medizinisch und finanziell.

Starten Sie in wenigen Minuten Ihren Zahnzusatzversicherungs-Vergleich und investieren Sie in Ihre Zahngesundheit.


