Zahnzyste erkennen: Symptome, Gefahren und Behandlung

Eine Zahnzyste bleibt oft lange unentdeckt und gefährdet dabei schleichend Ihre Zahngesundheit. Viele Betroffene merken jahrelang nichts von der gutartigen Hohlraumbildung im Kiefer. Erst wenn Schmerzen auftreten oder der Knochen nachweislich abbaut, wird die Kieferzyste zum ernsten Problem. In diesem Ratgeber erfahren Sie, wie Sie eine Zyste frühzeitig erkennen, welche Behandlungsmöglichkeiten der Zahnarzt Ihnen anbietet […]
Wurzelspitzenresektion (WSR): Ablauf, Kosten & Heilung

So retten Sie Ihren Zahn vor der Extraktion Wenn eine herkömmliche Wurzelbehandlung nicht mehr ausreicht, bedeutet das nicht zwangsläufig das Ende Ihres Zahnes. Die Wurzelspitzenresektion bietet Ihnen eine letzte Chance, Ihren natürlichen Zahn zu erhalten. Bei diesem chirurgischen Eingriff entfernt der Zahnarzt die entzündete Wurzelspitze, um so den Zahn retten zu können. In diesem Ratgeber […]
Aloe Vera für die Mundgesundheit: Wirkung auf Zahnfleisch und Schleimhaut

Entzündetes Zahnfleisch, schmerzhafte Aphten oder empfindliche Mundschleimhaut? Viele Menschen leiden unter Problemen im Mundbereich, die das Wohlbefinden erheblich beeinträchtigen. Die Aloe Vera Pflanze gilt seit Jahrtausenden als natürliches Heilmittel und erfreut sich auch in der modernen Zahnpflege zunehmender Beliebtheit. Dieser Ratgeber zeigt Ihnen, wie Aloe Vera die Mundgesundheit unterstützt, welche wissenschaftlichen Erkenntnisse dahinterstehen und wie […]
Mundtrockenheit (Xerostomie): Ursachen, Folgen und was hilft

Ein trockener Mund ist mehr als nur ein unangenehmes Gefühl – er kann ernsthafte Folgen für die Zahngesundheit haben. Mundtrockenheit, medizinisch auch Xerostomie genannt, betrifft Millionen von Menschen in Deutschland und wird oft unterschätzt. Dabei spielt Speichel eine entscheidende Rolle für gesunde Zähne und ein intaktes Zahnfleisch. In diesem umfassenden Ratgeber erfahren Sie alles über […]
Grillz: Metall und Edelsteine auf den Zähnen

Von Hip-Hop-Stars bis zum Mainstream – Grillz sind längst nicht mehr nur ein Trend der Rap-Szene. Die dekorativen Zahnaufsätze aus Gold, Silber oder mit Edelsteinen verzierten Materialien finden zunehmend Interesse bei Menschen, die ihren Zähnen einen besonderen Glanz verleihen möchten. Doch was genau verbirgt sich hinter diesem Zahnschmuck, welche gesundheitlichen Aspekte sollten Sie beachten und […]
Zahnschmuck: Schädlicher Trend für die Zähne?

Ein funkelnder Stein auf dem Schneidezahn oder ein cooles Grillz im Mund – Zahnschmuck ist bei Jugendlichen und jungen Erwachsenen zunehmend beliebt. Doch was nach einem harmlosen Mode-Statement aussieht, kann ernsthafte Folgen für Ihre Zahngesundheit haben. Zwischen ästhetischem Anspruch und medizinischen Risiken tun sich Konflikte auf, die viele Verbraucher unterschätzen. In diesem Artikel erfahren Sie […]
Empfindliche Zähne: Ursachen & was wirklich dagegen hilft

Ein Schluck kaltes Wasser, ein Bissen Eis oder das Zähneputzen mit kaltem Wasser – und plötzlich durchfährt Sie ein stechender Schmerz. Empfindliche Zähne sind ein weit verbreitetes Problem, das etwa jeden dritten Erwachsenen in Deutschland betrifft. Schmerzempfindliche Zähne reagieren auf Kälte, Hitze, Süßes oder Saures mit unangenehmen Schmerzreizen, die den Alltag erheblich beeinträchtigen können. In […]
Zahnunfall: Erste Hilfe wenn ein Zahn abbricht oder ausfällt

Ein Moment der Unachtsamkeit beim Sport, ein Sturz oder ein unerwarteter Biss auf etwas Hartes – und plötzlich ist ein Zahn abgebrochen oder komplett ausgeschlagen. Zahnunfälle gehören zu den häufigsten Verletzungen im Alltag: Etwa 50% aller Kinder und Jugendlichen erleiden bis zum 16. Lebensjahr einen Zahntrauma. Doch auch Erwachsene sind betroffen. Die ersten Minuten nach […]
Erkrankungen der Mundschleimhaut: Ursachen & Behandlung

Wunde Stellen im Mund, schmerzhafte Bläschen oder hartnäckige Veränderungen der Mundschleimhaut – fast jeder kennt diese unangenehmen Beschwerden. Erkrankungen der Mundschleimhaut gehören zu den häufigsten Problemen in der Zahnmedizin und betreffen Menschen jeden Alters. Während viele Mundschleimhaut-Veränderungen harmlos und selbstlimitierend sind, können einige auf ernsthafte Erkrankungen hinweisen. In diesem umfassenden Ratgeber erfahren Sie alles über […]
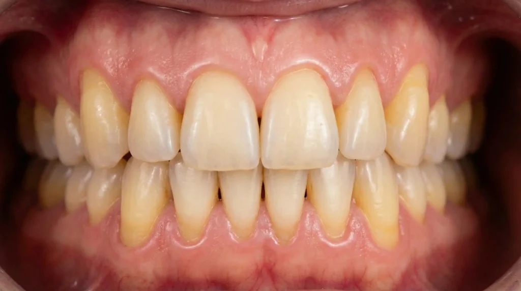
Zahnfleischrückgang: Ursachen, Behandlung und Vorbeugung

Zahnfleischrückgang betrifft in Deutschland etwa jeden zweiten Erwachsenen über 30 Jahre – oft unbemerkt, bis die Zähne plötzlich länger erscheinen oder empfindlich reagieren. Diese schleichende Veränderung des Zahnfleisches ist nicht nur ein ästhetisches Problem, sondern kann unbehandelt zu ernsthaften Zahnschäden und sogar Zahnverlust führen. In diesem umfassenden Ratgeber erfahren Sie alles über die Ursachen von […]